Rozpoznawanie, profilaktyka i leczenie chorób wewnętrznych, choroby wieku starszego, choroby zakaźne, układu oddechowego, diabetologia, alergie.
-
luizkaa0
- Użytkownicy
- Posty: 1
- Rejestracja: 30 maja 2023, o 23:37
Post
autor: luizkaa0 »
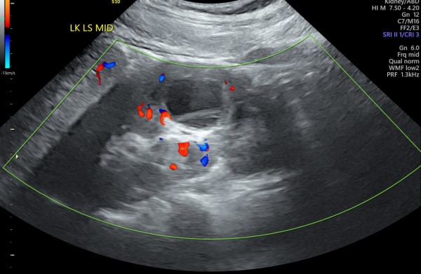
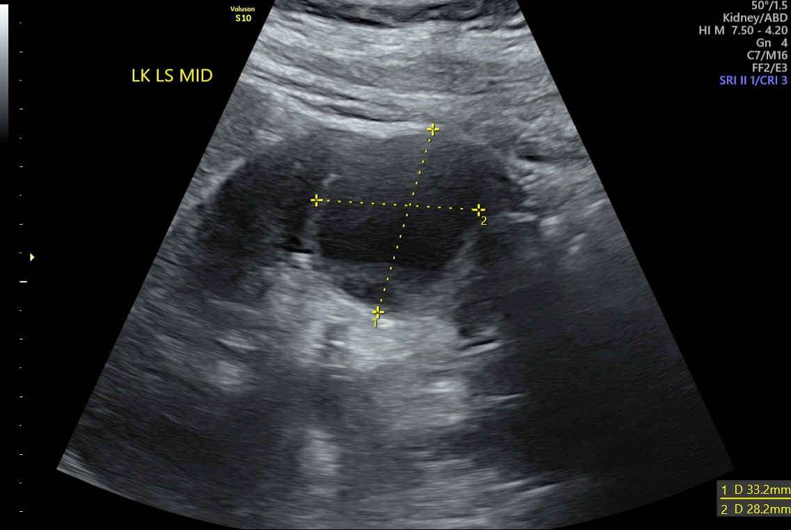
Witam,
Czy mógłby ktoś mi powiedzieć czy 'infekcja cysty' to poprawna interpretacja załączonego USG?
Dzięki wielkie,
Lu
-
Załączniki
-

-

-

-
-
- 0 Odpowiedzi
- 2222 Odsłony
-
Ostatni post autor: Asystentka
-
-
- 0 Odpowiedzi
- 2213 Odsłony
-
Ostatni post autor: Asystentka
-
-
- 0 Odpowiedzi
- 1524 Odsłony
-
Ostatni post autor: admin. med.
-
-
- 0 Odpowiedzi
- 1134 Odsłony
-
Ostatni post autor: Asystentka
-
-
- 0 Odpowiedzi
- 1908 Odsłony
-
Ostatni post autor: admin. med.