Problem ze stawem skokowym
-
damian8063
- Użytkownicy
- Posty: 6
- Rejestracja: 19 kwie 2016, o 19:22
Problem ze stawem skokowym
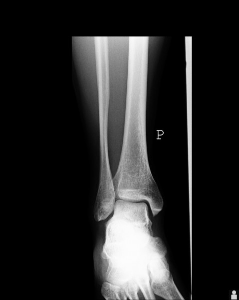
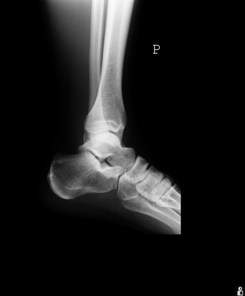
5 tygodni temu doznałem urazu stawu skokowego. Lekarz powiedział, że to nic takiego i po 2 tygodniach będzie dobrze, a ja mam cały czas problem ze stawem. Boli w pewnym zakresie ruchu, jest lekko opuchnięty. Czy ktoś kto ma jakieś pojęcie mógłby zerknąć na zdjęcie RTG?
Re: Problem ze stawem skokowym
Maz po urazie mial problem z chodzeniem przez 3 miesiace mimo ze rtg wychodzilo dobrze. lekarz kazal kupic taka orteze [mod]1 do wzmocnienia stawu i maz tak chodzil. przeszlo samo
-
damian8063
- Użytkownicy
- Posty: 6
- Rejestracja: 19 kwie 2016, o 19:22
Re: Problem ze stawem skokowym
Ale u mnie jest problem ze stawem skokowym, a Twój mąż rozumiem, że miał ze stawem kolanowym?
Re: Problem ze stawem skokowym
Jest jeszcze stan zapalny. To, że boli i będzie jeszcze długo boleć, jest w pewnym sensie normalne. Takie objawy utrzymują się do ok .3 miesięcy i z czasem powinno być lepiej . Stopa będzie "uciekać" i się podwijać. Można tu stosować miejscowe leki przeciw zapalne i p/bólowe. Dobrze jest włączyć zabiegi takie jak magnetoterapię, laseroterapia czy jonoforeza a też prądy interferencyjne Nemeca. Nie ma problemu z kupieniem ortezy na stawa skokowy.
-
- Podobne tematy
- Odpowiedzi
- Odsłony
- Ostatni post
