Upadek z wysoka i ból klatki piersiowej

Rozpoznanie, leczenie, zabiegi-operacje chirurgiczne, transplantologia, korekcji nosa i piersi, liposukcja i lifting. leczenie żylaków nóg
Smius
Użytkownicy
Posty: 1
Rejestracja: 2 cze 2022, o 15:08

Upadek z wysoka i ból klatki piersiowej

Post autor: Smius »

Witam serdecznie
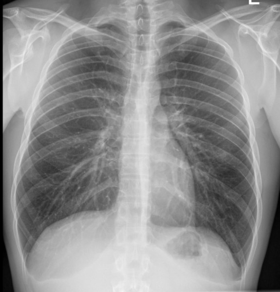
Wczoraj spadłem z ok dwóch metrów lewym bokiem na metalowe belki. Cały impet uderzenia przyjęła klatka piersiowa. Na chwilę straciłem oddech, ale potem wszystko wróciło do normy, pozostał tylko ból żeber. Dzisiaj ból się nasilił i poszedłem do lekarza no i zrobiono mi zdjęcie RTG. Niestety na konsultację z chirurgiem muszę dosyć długo czekać...a ból jest podczas zwykłych czynności i nasila się podczas głębokiego oddychania, kaszlu, "pociągania" nosem...ogólnie ból sprawia wszystko co powoduje "ruch" żeber.
Dotykowi żeber po lewej stronie również towarzyszy ból. Leżeć na obolałym boku jak i na plecach nie mogę bo ból temu towarzyszący jest nie do wytrzymania,
Czy mógłbym prosić o ocenę zdjęcia czy udać się z tym na SOR czy czekać posłusznie na wizytę u dr chirurga?
Załączniki
zdj2.jpg
Zdj1.jpg
ODPOWIEDZ
  • Podobne tematy
    Odpowiedzi
    Odsłony
    Ostatni post